
膝蓋骨内方脱臼(patellar luxation)は、小型犬に多く見られる整形外科疾患です。
なかでも「グレード4」と呼ばれる重度のケースでは、
といった症状がみられ、日常生活に大きな支障をきたすことがあります。
ただし、「グレード4」と診断されても、実際にはグレード3相当のことも少なくありません。まずは整形外科の知見と経験をもつ獣医師による正確な診断と評価がとても大切です。
また、同じグレード4でも治療の難易度には大きな幅があり、治療内容や費用、回復までにかかる期間も大きく変わってきます。まずは足の状態を正確に把握し、ご家族に病態をしっかり理解していただくことが、良い治療につながる第一歩となります。
このページでは、重度膝蓋骨内方脱臼に伴う骨変形について、博士課程で研究を行い、臨床でも多くの症例を診てきた私・安川の経験をもとに、重症例の評価と治療の考え方をご紹介しています。
重度の膝蓋骨内方脱臼に苦しむわんちゃんと、そのご家族の一助となれば幸いです。
こちらは、最近報告されたグレード別の膝蓋骨内方脱臼の外科治療の成績に関する論文です。
| 著者・発表年 | 頭数・膝数 | グレード | 内容 |
|---|---|---|---|
| Kowaleski MP, et al. 2016 | 24頭・29膝 | G4 | 再脱臼率:21%、重大合併症:24%、機能回復率:93% |
| Mostafa AA, et al. 2020 | 55頭・68膝 | G2–4 | G2:再脱臼率:0%、G3:再脱臼率:10%、G4:再脱臼率:37.5%、骨切り実施群で予後良好 |
また、近年の報告では、
といった知見が得られています。
しかし、術式の追加は合併症のリスクも高めます。
整形外科を専門とする獣医師の役割は、難しい手術をただこなすことではありません。
むしろ、一般的な手技であっても合併症のリスクを限りなく低く抑えるために、手術計画を練り上げ、丁寧な技術を積み重ねることが専門医の使命だと私は考えています。
同じグレード4でも、以下の4点で治療の難易度は大きく異なります。
この4つを的確に評価することで、最適な治療方針が立てられます。
整形外科における「術前評価」と「治療計画」は、手術技術と同じくらい大切です。
犬の骨は、生後4–5ヵ月齢で急速に成長します。
この時期に膝蓋骨が脱臼したまま放置されると、骨が変形した状態で成長してしまう可能性があります。
そのため、
あるいは
が必要です。
ただし、若齢期には骨への処置は制限されるため、術式の選択には注意が必要です。
最近の研究では、生後6ヵ月齢以降であれば骨の成長に大きな差は出にくいとされています。
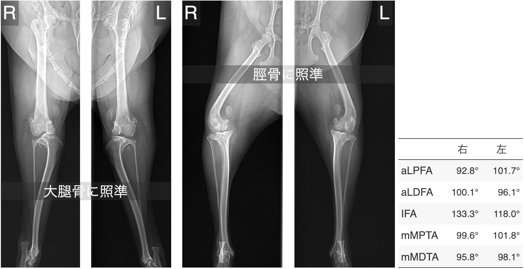
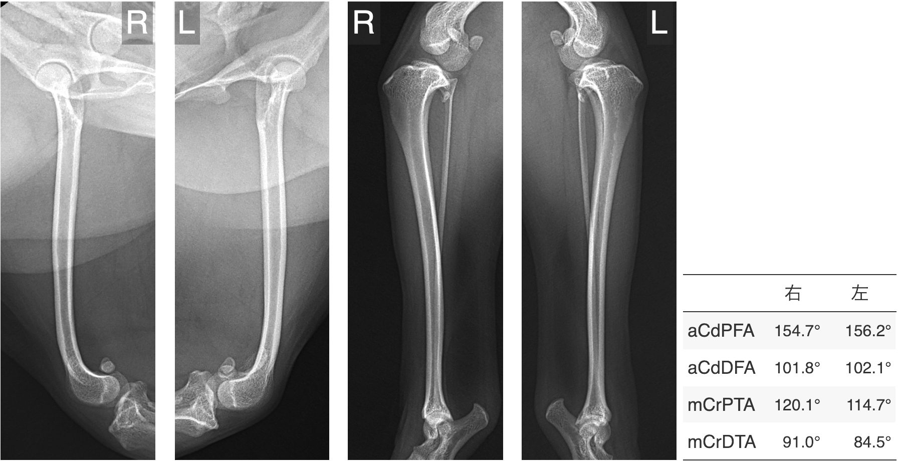
レントゲン検査で骨の変形が疑われる場合には、より詳しい評価のためにCT検査をおすすめしています。
レントゲンでは全体像はつかめても、骨の捩れや傾きといった詳細な情報までは正確に把握できないことがあるからです。
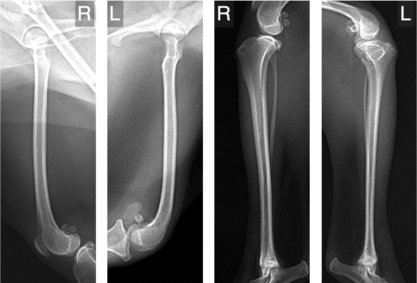
以下は、グレード4の膝蓋骨脱臼でよくみられる骨の変形の一例です。
ただし、骨の変形は症例ごとにその部位や程度が異なるため、CTによる三次元的な形態解析を行うことが、適切な手術計画を立てるうえで重要です。

重度グレード4の症例では、膝をしっかりと伸ばせなくなるケースが見られます。
膝蓋骨が外れたままの状態が長く続くと、犬は膝を曲げたまま腰を落とした姿勢で立ち続けるようになり、これを“クラウチング姿勢”と呼びます。
このような状態では、膝を伸ばす筋肉(大腿四頭筋)が徐々に短縮してしまい、いざ手術で膝蓋骨を整復しても、筋肉が元の長さに戻らず、強い張力によって再脱臼が起きやすくなります。
さらに、短縮した筋肉に無理に引っ張られた状態で整復位置を保とうとすると、その負担が隣接する股関節にかかり、股関節が脱臼してしまうこともあります。
このように、膝関節の可動域(特に伸展能力)を正しく評価することは、手術リスクの見極めや術式選択において非常に重要なポイントとなります。
グレード4の中でも、状態がより重いケースでは、膝のお皿(膝蓋骨)がまわりの組織とくっついて動かなくなってしまうことがあります。その結果、触診でも膝蓋骨の正確な位置がわからなくなり、「膝蓋骨が触れない」という主訴で紹介されることもあります。
手術で膝蓋骨を正しい位置に戻すには、こうした癒着を丁寧に剥がし、動かせる状態に戻す必要があります。ただし、重症の場合は癒着を剥がすだけでは足りず、内側の筋肉や関節の袋(関節包)を切離しなければ動かせないことが多いです。
こういった組織のこわばりが残ったまま無理に整復してしまうと、元の位置に戻ろうとする力が強く働き、再び脱臼してしまうリスクが高くなってしまいます。
そのため、膝のお皿がちゃんと動くかどうかを事前にしっかりと評価しておくことが、手術の安全性を高めるうえでもとても大切です。
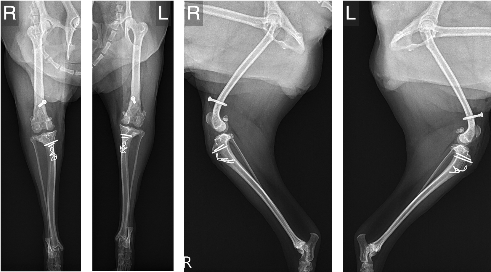
重度の膝蓋骨脱臼グレード4では、骨の変形や靭帯・関節包の異常など、複数の要因が重なって後肢の歩行機能に重大な問題を引き起こしています。
当院では、こうした症例に対して以下のような手術手技を症例ごとに適切に組み合わせ、「歩けるようになること」、「痛みなく生活できること」を目指しています。
骨の変形が疑われる場合には、以下のような段階を踏んで安全かつ精度の高い手術を行います。
*クリックすると詳細が表示されます。


※骨変形が高度な場合、滑車溝形成術と矯正骨切り術を分割して実施することで、安全性と整復精度を確保します。
*クリックすると画像が表示されます。


*手術中の写真が含まれています。閲覧される場合にはご注意ください。




*クリックすると画像が表示されます。





*手術中の写真が含まれています。閲覧される場合にはご注意ください。






当院では、「手術する」か「しない」かという二択ではなく、“その子にとって一番安全で、納得できる治療は何か?”を一緒に考えることを大切にしています。
他の病院で「手術は難しい」と言われた症例でも、治療の道が見つかることは少なくありません。そして、難しい手術であればあるほど、ご家族との丁寧な話し合いがとても重要になります。
重度の膝蓋骨脱臼に対して「もう手はないのかもしれない…」と感じている飼い主様へ。
私たちは、その子にとっての“最後の砦(とりで)”でありたいと思っています。
これまでの経験と知識をもとに、全力でサポートさせていただきます。
手術を迷われている方、治療方針に悩んでいる方は、どうぞご相談ください。